Learn more about Artificial Intelligence in Healthcare with our resources

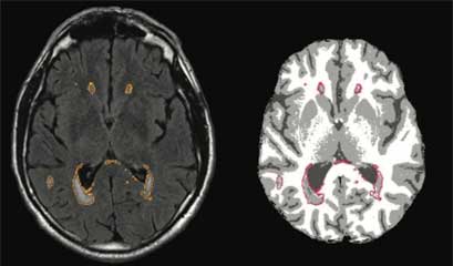
Ultimate Guide to AI in Radiology

U.G. AI in Radiology - Thumbnail main resources page

How does artificial intelligence work? What are promising AI applications in radiology?

Read more

Ulimate Guide to AI in Prostate Radiology

AI in prostate cancer - homepage image

What are promising AI applications in the prostate cancer pathway? Which solutions are available now?

Read more